| Clone ID | OTI2B5 (formerly 2B5) |
|---|---|
| Target | |
| Synonyms | ANTI HIS, ANTI HISTIDINE, ANTIHIS |
| Host Species | Mouse |
| Description | Clone OTI2B5, Anti-His mouse monoclonal antibody |
| Delivery | 1-2week |
| Uniprot ID | N/A |
| IgG type | IgG1 |
| Clonality | Monoclonal |
| Reactivity | His tag |
| Applications | Flow Cyt;WB |
| Recommended Dilutions | WB 1:4000 |
| Purification | N/A |
| Endotoxin | Less than 1.0 EU/μg by the LAL method. For <1 EU/mg requirements, please contact us for customization. |
| Formulation & Reconstitution | PBS (pH 7.3) containing 1% BSA, 50% glycerol and 0.02% sodium azide. |
| Storage&Shipping | Store at -20°C. |
| Background | N/A |
| Usage | Research use only |
| Conjugate | Unconjugated |
Anti-His OTI2B5 (formerly 2B5);Mouse mAb
Price: 100ul $447.00
Product Data Dima FAQ
Images Dima FAQ

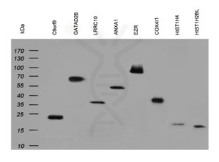
Figure 1. Anti-His Immunoblot analysis of six different HEK293T over-expression lysates containing different His tagged recombinant proteins, and two his tagged bacterial lysate produced in E.coli. at 1:4000 dilution.
Related Products
Monoclonal antibodies
SKU: DME100001B Target: His Tag
Application: ELISA; WB
Price: 10μg $139.00 ; 100 μg $670.00 ; 500 μg $1999.00
Monoclonal antibodies
SKU: DME100001 Target: His Tag
Application: ELISA; WB
Price: 10μg $99.00 ; 100 μg $399.00 ; 500 μg $1199.00
Monoclonal antibodies
SKU: DMC101406 Target: His Tag
Application: ELISA
Price: 10μg $99.00 ; 100 μg $446.00 ; 500 μg $1340.00
