| Clone ID | OTI3C4 (formerly 3C4) |
|---|---|
| Target | |
| Synonyms | N/A |
| Host Species | Mouse |
| Description | Carrier-free (BSA/glycerol-free) Mouse monoclonal ZsYellow1 antibody, clone OTI3C4 |
| Delivery | 3-4week |
| Uniprot ID | N/A |
| IgG type | IgG1 |
| Clonality | Monoclonal |
| Reactivity | N/A |
| Applications | WB |
| Recommended Dilutions | WB: 1:2000 |
| Purification | N/A |
| Endotoxin | Less than 1.0 EU/μg by the LAL method. For <1 EU/mg requirements, please contact us for customization. |
| Formulation & Reconstitution | Lyophilized powder (original buffer 1X PBS, pH 7.3, 8% trehalose) |
| Storage&Shipping | Store at -20°C. |
| Background | N/A |
| Usage | Research use only |
| Conjugate | Unconjugated |
Anti-ZsYellow1 Antibody (OTI3C4),Mouse mAb
Price: 100ug $620.00
Product Data Dima FAQ
Images Dima FAQ

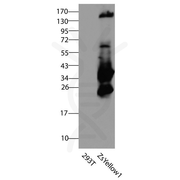
Figure 1.HEK293T cells were transfected with the pCMV6-ENTRY control (Left lane) or pCMV6-ENTRY ZsYellow1 (Right lane) cDNA for 48 hrs and lysed. Equivalent amounts of cell lysates (5 ug per lane) were separated by SDS-PAGE and immunoblotted with anti-ZsYellow1 (DME900013, 1:2000).
Related Products
Monoclonal antibodies
SKU: DME100025 Target: S protein RBD
Application: ELISA; Flow Cyt
Price: 10μg $99.00 ; 100 μg $359.00 ; 500 μg $1070.00
Monoclonal antibodies
SKU: DME100038 Target: S protein
Application: ELISA
Price: 10μg $99.00 ; 100 μg $359.00 ; 500 μg $1070.00
Monoclonal antibodies
SKU: DME100027 Target: CD38
Application: ELISA; IHC; WB; Flow Cyt
Price: 10μg $99.00 ; 100 μg $446.00 ; 500 μg $1340.00
Monoclonal antibodies
SKU: DME100030 Target: CD123
Application: ELISA; Flow Cyt
Price: 10μg $99.00 ; 100 μg $446.00 ; 500 μg $1340.00
Monoclonal antibodies
SKU: DME100039 Target: S protein
Application: ELISA
Price: 10μg $99.00 ; 100 μg $359.00 ; 500 μg $1070.00
Monoclonal antibodies
SKU: DME100043 Target: CD48
Application: ELISA; Flow Cyt; WB
Price: 10μg $99.00 ; 100 μg $446.00 ; 500 μg $1340.00
Monoclonal antibodies
SKU: DME100004 Target: BCMA
Application: ELISA; Flow Cyt; IF; IP
Price: 10μg $99.00 ; 100 μg $438.00 ; 500 μg $1314.00
Monoclonal antibodies
SKU: DME100041 Target: S protein
Application: ELISA
Price: 10μg $99.00 ; 100 μg $359.00 ; 500 μg $1070.00
Monoclonal antibodies
SKU: DME100013 Target: CD22
Application: ELISA; Flow Cyt
Price: 10μg $99.00 ; 100 μg $446.00 ; 500 μg $1340.00
